1
/
of
2
Alcian Blue pH 2,5 100 test - Special Stains
Alcian Blue pH 2,5 100 test - Special Stains
Regular price
Dhs. 0.00 AED
Regular price
Sale price
Dhs. 0.00 AED
Unit price
/
per
Download Product's Datasheet
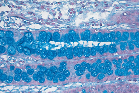
Alcian dyes belong to cuprophthalocyanine group; they bind polyanions of acid mucopolysaccharides through saline bounds. In this method, a sodium tetraborate solution transforms the dye into Monastral blue pigment, which is insoluble and can therefore be further manipulated without spreading in the tissue (Alcian blue-PAS). Alcian blue reacts with polyanions whose components are sulphuric and carboxylic radicals (phosphate radicals of nucleic acids do not react). As result, acid mucins only are stained.
Method:
1) Bring section to distilled water.
2) Put on the section 10 drops of reagent A: leave to act 30 minutes.
3) Drain the slide without washing and put on the section 10 drops of reagent B: leave to act 10 minutes.
4) Wash in distilled water.
5) Put on the section 10 drops of reagent C: leave to act 5 minutes.
6) Wash in distilled water.
7) Dehydrate through ascending alcohols, clear in xylene and mount.
Share
No reviews
