HURO PATH® S Liquid Based Cytology Device
HURO PATH® S Liquid Based Cytology Device
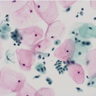
HURO PATH® S is an in vitro diagnostic device that filters and smears the cells from human body for cytopathology examination.
HURO PATH® S uses a patented double membrane filter for excellent filtration and smearing. It is also easy and convenient with its excellent processing speed to produce more than 90 slides per hour. When the collected cell specimens are put into HURO PATH® Solution, the cells are fixed and cell deformation is prevented during transportation and cell smear.
LBC(Liquid Based Cytology) is easy to screen and has excellent test accuracy because there is no unnecessary debris or mucus left on the slide compared to the existing conventional pap smear.
- HURO PATH® S is designed for use in medical schools, medical centers, hospitals, laboratories.
- HURO PATH® S should be used for in vitro diagnostics.
- Should be used by professionals (including healthcare provider).
- Do not use this device except for the skilled.
- Install this device on a flat surface and level it.
- Use only the power cable supplied with the device.
- Check the voltage used before connecting the power.
- Use this device at 5℃ to 40℃.
- Install this device in fire-resistant place. Do not operate this device in explosive environments or in water.
- Read this Instructions For Use before use.
- Do not impact device during operation.
- Do not use the device when the power cable is damaged.
- Keep away from dust and moisture.
- Store it in stable without vibration or shock.
- Connect the drain hose correctly before use.
Share
