1
/
of
2
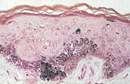
MASSON FONTANA 100 test - Special Stains
MASSON FONTANA 100 test - Special Stains
Regular price
Dhs. 0.00 AED
Regular price
Sale price
Dhs. 0.00 AED
Unit price
/
per
Download Product's Datasheet
Product for the preparation of cyto-histological samples for optical microscopy. Recommended method to show melanin in histologic sections.
Method:
1) Bring two slides of the same preparation to distilled water.
2) Select slide as control. Only for control section, execute 3 and 4 steps.
3) Put on control slide 10 drops of reagent B and 10 drops of reagent C: leave to act 20 minutes and wash in distilled water.
4) Put on control slide 10 drops of reagent D: leave to act 5 minutes and wash in distilled water.
5) Prepare the incubation box and lay down the two slides (specimen and control); put 10 drops of reagent A on each section and close the incubation box: leave to act overnight.
6) Wash in distilled water and put 10 drops of reagent E: leave to act 5 minutes.
7) Wash in distilled water.
8) Put on control slide and on the specimen 10 drops of reagent F: leave to act 10 minutes.
9) Wash in distilled water. 10)Dehydrate through ascending alcohols, clear in xylene and mount.
Share
No reviews
